Nội dung bài giảng
1. BẢN CHẤT TIA X
Tia X là những bức xạ mà mắt người không nhìn thấy được.
Tia X (hay tia Röntgen) là sóng điện từ có bước sóng rất ngắn (ngắn hơn tia tử ngoại).
2. CÁCH TẠO RA TIA X
2.1 Dụng cụ
Ống phóng tia X
+ Được làm từ thủy tinh chịu nóng, áp suất thấp:
+ Gồm 3 cực kim loại
(1) Cathode K (âm cực) có dạng chỏm cầu, nối với cực âm nguồn điện.
(2) Anode A (dương cực) nối với cực dương nguồn điện.
(3) Đối âm cực G (đối Cathode): làm bằng kim loại chịu nóng (Platin, Volfram, …) đặt giữa A và K, nối với cực dương nguồn điện.
+ Hiệu điện thế giữa hai cực rất lớn (vài vạn Volt).

Ống phóng tia X
2.2 Cơ chế tạo ra tia X
+ Các electron từ cathode được tăng tốc trong điện trường mạnh sẽ có động năng lớn;
+ Khi electron đập vào đối âm cực G, chúng xuyên qua lớp vỏ nguyên tử, tương tác với hạt nhân và các electron ở bên trong làm phát ra sóng điện từ có bước sóng ngắn gọi là tia X;
+ Ngoài ra, tia X còn được tạo thành do quá trình va chạm trong các khối khí có nhiệt độ rất cao (Mặt trời, ngôi sao, …).
3. TÍNH CHẤT
+ Không bị lệch trong điện trường và từ trường;
+ Có khả năng đâm xuyên mạnh, chỉ bị giữ lại bởi kim loại nặng;
+ Tác dụng mạnh lên kính ảnh;
+ Có khả năng ion hóa chất khí;
+ Có tác dụng sinh lý: diệt vi khuẩn, hồng huyết cầu, …;
+ Có thể gây ra hiệu ứng quang điện.
4. ỨNG DỤNG
+ Công nghiệp: dò vết nứt, các bọt khí trong các sản phẩm công nghiệp;
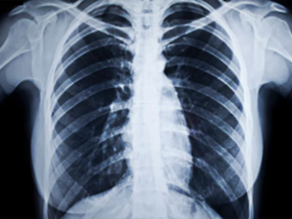
+ Y học: chụp hình, chiếu điện tử, chữa bệnh ung thư nông;
+ An ninh giao thông: kiểm tra hành lý hành khách đi máy bay;
+ Phòng thí nghiệm: nghiên cứu cấu trúc vật rắn, …

Vì khả năng đâm xuyên mạnh, chỉ bị giữ lại bởi kim loại nặng,
các y bác sĩ phải mặc áo giáp "chì" bảo vệ cơ thể (gồm phần ngực và cổ).

Ảnh chụp bằng tia X (X quang) giúp bác sĩ chẩn đoán chính xác bệnh lý.

Nhân viên an ninh kiểm tra hành lý thông qua máy soi chiếu bằng tia X tại sân bay.

Vì tính chất đâm xuyên mạnh của tia X, lô vaccine Covid-19 được “đặc cách”
không bị kiểm tra để đảm bảo không phá hủy dược tính.